中国,甘肃——11月19日,甘肃省人民医院关节外科再次实现技术新突破!在郭洪章主任带领下,一病区手术团队单日高效完成鸿鹄®骨科手术机器人辅助下“仿生内轴膝”全膝关节置换术五连台,将手术精准度与安全性提升至全新高度。郭洪章主任表示,通过鸿鹄®机器人亚毫米级的精准规划与“仿生内轴膝”假体还原自然行走体验理念的融合,手术确保了患者下肢力线的完美重建与软组织的最佳平衡,为患者快速康复和远期疗效奠定了坚实基础,成为患者重获生活尊严的有效解决方案。

▲郭洪章主任实施手术
本次高难度、高强度的连台手术成功完成,也是对团队协作效率与技术实力的集中检阅,标志着医院智能骨科手术已实现从“单项突破”到“规模化、常态化”应用的关键跨越,让外科手术从高度依赖经验的技术活动,迈向更加标准化、可重复、可预期的高质量医疗服务,成为医院迈向数字化、精准化、智能化医疗新时代的又一重要里程碑。
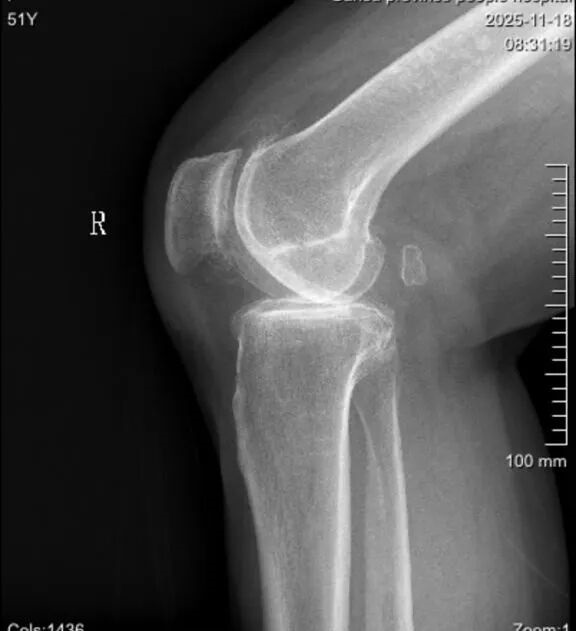
接受手术的5位患者均被诊断为重度膝关节骨性关节炎,且病情复杂多样,涵盖了严重内翻畸形、屈曲挛缩、外翻畸形及伴有骨质缺损等具有代表性的复杂病例,采用传统TKA手术挑战较大。
针对患者的复杂病情,经术前全面评估,郭洪章主任确定5台手术均采用机器人辅助下 “仿生内轴膝”全膝关节置换术,依托鸿鹄®机器人手术规划系统,为每位患者制定 “一人一策”的个性化手术方案。


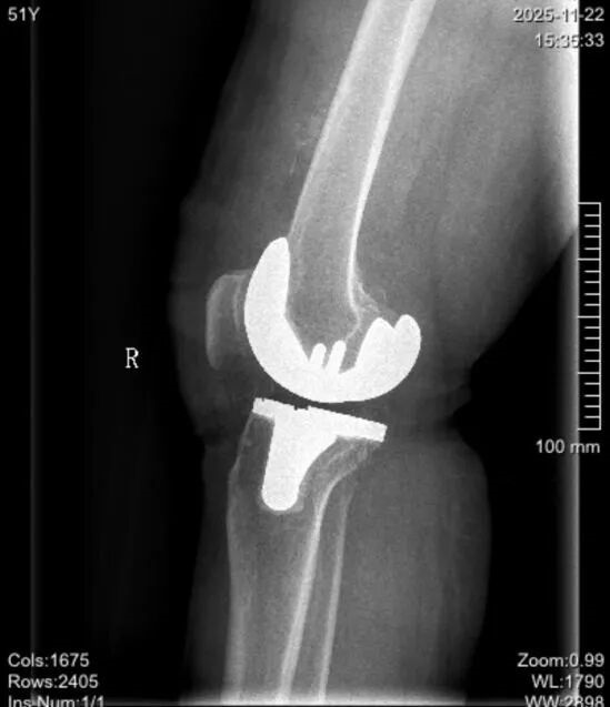
▲术前术后影像对比


▲影像对比
术前,手术团队根据患者CT影像数据进行三维建模与虚拟手术规划,精确设定“仿生内轴膝”假体的型号、安放位置、角度及截骨量,并前瞻性地在虚拟空间中模拟了截骨后的软组织平衡状态。术中,在鸿鹄®机器人的实时导航与视觉引导下,郭洪章主任操控轻量化灵巧机械臂,为不同畸形的患者执行了“量体裁衣”式的精准截骨。实时数据显示,鸿鹄®机器人在纠正严重内外翻力线、平衡屈曲与伸直间隙等关键步骤上,展现出超越传统工具和人眼判断的超高精度与稳定性,确保了“仿生内轴膝”假体所追求的内轴稳定性与生理运动学特性得以完美实现,助力恢复患者膝关节的自然运动功能。术后,患者均感觉良好,疼痛感可控,并于当日在康复团队指导下进行早期功能锻炼,展现了精准手术驱动下的快速康复优势。





▲郭洪章主任实施手术
郭洪章主任指出,单日高效完成5台复杂的机器人辅助下全膝关节置换手术,实现“量”与“质”的双重飞跃。在流畅的操作与团队娴熟的配合下,从切皮到完成假体安装,单台手术核心步骤仅需约36分钟,其效率已与传统手术相当,但团队工作强度显著下降,患者术中出血、截骨精准度显著上升。这意味着,在鸿鹄®机器人辅助下,手术团队即便面对复杂畸形,也能够高效地将“仿生内轴膝”这一先进假体的设计理念,通过数字化手段精准、可重复地转化为手术现实,真正实现了精准与效率的完美统一,这将为患者的快速康复和长远功能改善提供临床优选方案。
鸿鹄®机器人将全膝关节置换手术从“依赖经验的艺术”全面提升为“可规划、可预见、可精准控制的科学”,显著降低了因解剖变异和术者经验带来的不确定性,推动高难度手术实现标准化、高标准手术趋于常态化。
自鸿鹄®骨科手术机器人系统落户甘肃省人民医院以来,郭洪章主任领衔的团队已累计完成机器人辅助全膝关节置换手术236例,成为国产骨科手术机器人系统化临床应用的典范,为区域内广大膝骨关节炎患者提供了更精准、更优质的诊疗服务。目前,科室已形成了一支以郭洪章主任为核心、中青年骨干医师熟练掌握操作流程的机器人手术专业团队。此次单日成功完成五连台机器人辅助手术,是甘肃省人民医院关节外科一病区在智能骨科建设进程中的一个生动缩影,不仅集中展示了科室在技术创新方面的硬核实力,也深刻反应出甘肃省人民医院“以患者为中心”、持续推动技术革新与服务优化的软实力,为将科室建设成为区域领先、国内知名的关节外科诊疗中心注入了持续而强大的发展动能。
微创®机器人常务副总裁兼首席商务官刘雨先生表示:“甘肃省人民医院成功实现单日五台由鸿鹄®机器人辅助的复杂TKA,不仅展现了医院强大的临床实力,更充分证明了数字化骨科在真实世界环境中的成熟度与可复制性。其高效率与高品质并行,对于推动区域医疗水平提升与智能手术技术普及具有极高的示范价值。我们特别欣喜地看到,在郭洪章主任团队的专业掌控下,鸿鹄®机器人所具备的优势得以在手术中被充分发挥,让每一例患者的手术都变成‘可以被规划、可以被验证、可以被精准执行的过程,这正是对“让天下没有难做的手术”的生动践行。






沪公网安备 31011502015178号
