隐匿肿瘤终露端倪
典型症状敲响警钟
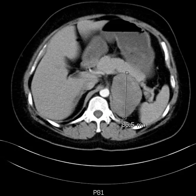
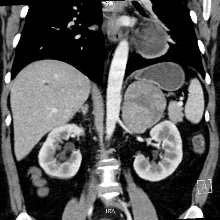
2周前,46岁的顾女士在一次轻度活动后感觉自己喘得厉害,双腿也出现浮肿,于是来到上海市东方医院心血管内科就诊。然而经过系统检查却发现:顾女士的病症并非源自心血管——影像学结果显示她的左侧肾上腺区赫然存在一个直径约8.5厘米的巨大实性占位,高度怀疑恶性,于是患者转至泌尿外科主任杨国胜教授处求诊。
杨国胜敏锐捕捉到顾女士面容圆润,肩颈背部脂肪异常堆积——“满月脸”、“水牛背”这些都是典型库欣综合征表现。
追问病史,患者坦言近一年体貌变化显著,体重明显增加,血压增高,且伴随持续性疲劳、阵发性多汗、心悸等症状。进一步的肾上腺功能检测显示,她的皮质醇、雄激素等关键指标显著异常。结合增强CT显示的肿瘤体积巨大、内部密度不均、强化不均匀等影像学特征,杨国胜诊断顾女士极可能是罕见的肾上腺皮质癌(Adrenocortical Carcinoma, ACC)。


▲肾上腺增强CT结果
机器人手术
复杂泌尿系肿瘤的“精准利器”
肾上腺是位于肾脏上方的一对很小的腺体,虽其貌不扬,但具有重要的内分泌功能,一旦发生肿瘤且疯狂分泌激素,便会产生一系列严重症状。
如此巨大的肾上腺肿瘤绝非短期内形成,“患者多年未进行系统体检,直到肿瘤压迫器官引发水肿气促,以及激素紊乱导致典型外貌和严重高血压才被发现,这大大增加了治疗的复杂性和风险性。”杨国胜教授解释道,而且肾上腺皮质癌本身就容易侵犯周围组织,像这样巨大的肿瘤,很可能已经与肾脏、脾脏、胰腺甚至重要血管紧密粘连。
面对这颗位置深、紧邻重要血管和脏器、且持续分泌激素的复杂的肾上腺恶性肿瘤,传统开放手术创伤巨大,术后恢复漫长;而常规腹腔镜手术在狭小空间内操作,视野和器械灵活性受限,难以实现精细解剖、控制出血的风险。
杨国胜团队联合内分泌科、心血管内科、麻醉科、重症医学科等多学科联合会诊(MDT),经过审慎评估后,决定采用机器人辅助腹腔镜技术为顾女士实施手术,并做好了包括激素替代方案调整、血压血糖控制、深静脉血栓预防等各项准备。

▲杨国胜教授操作微创机器人
手术如期进行,在麻醉科、手术室团队的密切配合下,杨国胜教授精准操控机械臂,在高清视野引导下,迅速定位巨大肿瘤,步步为营,小心翼翼地将肿瘤与膈肌、胰腺、脾脏、肾脏上极及肾门血管成功分离,清晰辨识、精准游离并离断了肿瘤的供应血管,完好保护了左肾动静脉主干及分支、膈神经等重要结构。最终,这颗直径约8.5厘米的罕见巨大肿瘤被完整取出,手术过程顺利,出血量极少。
巨大肿瘤的沉重警示
早筛早治是关键

手术的成功为顾女士的康复迈出了关键一步,其激素水平的异常正在逐步纠正。肾上腺肿瘤常被称为“隐匿的杀手”。回顾这次治疗经历,杨国胜教授特别强调了对肾上腺肿瘤隐匿性的警惕:“像顾女士所患的肿瘤,早期通常无症状或仅表现为轻度高血压、乏力、血糖异常或女性月经紊乱等不典型症状,极易被忽视或被误认为其他常见病。等出现‘满月脸’、‘水牛背’或腹部包块等时,往往已属中晚期,肿瘤巨大,不仅手术难度剧增,治疗效果也会大打折扣。”

▲患者术后与杨国胜教授合影
患者面容呈现典型的“满月脸”
“早发现、早诊断、早治疗”是战胜泌尿系肿瘤,尤其是高度恶性的肾上腺皮质癌的黄金法则。也因此,杨国胜教授强烈呼吁重视定期体检:“无论年龄大小,每年至少进行一次包含泌尿系超声和基础生化(可提示内分泌异常)的健康体检。对于有高血压、内分泌紊乱、家族史等高危人群,更应提高筛查意识。”






沪公网安备 31011502015178号
