腔镜手术机器人在复杂消化道肿瘤治疗中具备精准、微创等显著优势。目前临床上应用的腔镜手术机器人多为进口设备,费用相对较高。国产腔镜机器人在上消化道领域的推广应用,对于提升医疗服务可及性与推动技术自主化发展具有重要意义。近日,北京协和医院基本外科团队采用微创®机器人集团研发的图迈®机器人,成功完成首例国产腔镜手术机器人辅助下的胃贲门肿物切除术,这一成果标志着医院在国产机器人外科领域实现了新的突破。
患者为38岁男性,因“反复黑便伴头晕1月”前来就诊。病程中查血红蛋白最低降至90g/L。胃镜及相关影像学检查显示:胃底贲门区可见一约4cm大小的肿物,伴有溃疡及出血。综合辅助检查考虑该患者诊断为胃间质瘤可能性大。
该肿物毗邻贲门及齿状线,位于胃后壁,解剖位置较为隐蔽。若采用传统开腹手术,手术切口及创伤较大;若采用常规腹腔镜手术,手术视野明显受限。经多学科团队(MDT)评估,并与患者及其家属充分沟通后,最终决定实施国产腔镜手术机器人辅助下的微创手术切除。

▲术前胃肠镜检查结果:红色标注为胃底肿物

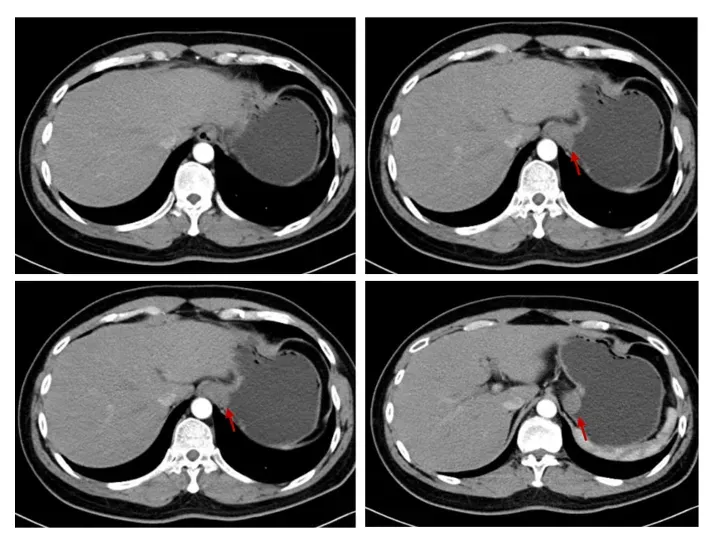
▲术前增强CT影像:红色箭头标注为胃底近贲门后壁肿物
在全身麻醉下,基本外科王维斌主任、陈伟杰副主任医师带领手术团队建立多孔腹腔镜入路,连接国产手术机器人系统。术者依托高清三维视野与可多角度旋转的机械臂,在狭小的贲门后方精准游离胃底,完整切除肿物,最大程度保留了正常胃组织及贲门功能。手术过程顺利,术中出血量约30ml。术后患者切口疼痛轻微,恢复状况良好,逐步恢复进食与日常活动,一周后顺利出院。

▲王维斌主任(后排居中)及手术、护理团队合影
王维斌主任高度评价图迈®机器人在本例上消化道微创手术中的表现。患者肿物位于胃后壁,紧邻贲门及齿状线等关键解剖结构,手术不仅需实现完整切除,还需最大限度保护贲门的生理功能。该部位手术操作空间狭窄、显露困难,肿物切除后食道与胃的精准缝合也极具挑战性,无论开腹还是常规腹腔镜手术,在操作空间、角度及视野方面均存在明显局限。
在本次外科手术过程中,图迈®机器人于贲门后方等深部狭窄区域构建了稳定、放大且清晰的立体视觉环境,助力术者精准识别肿物边界以及周围血管、神经等解剖结构。凭借其具备多自由度的机械臂与可转腕式高灵巧手术器械,手术团队得以在有限的腹腔空间内开展多角度、精细且连贯的操作,既保障了肿物的完整切除与可靠缝合,又切实规避了对胃壁及周边脏器的过度牵拉与不良干扰。
此外,系统所搭载的智能震颤滤除与动作缩放技术,显著增强了操作稳定性,使得术者即使处于狭窄且复杂的解剖区域,仍能高精度地实施剥离、切除以及缝合重建操作。王维斌主任指出,这些能力的综合运用,使手术在严格遵循肿瘤学手术原则的前提下,最大程度地减少了组织损伤,提升了手术的整体安全性、可控性与精准度。
此次手术的顺利开展,初步证实了国产腔镜手术机器人在胃贲门等复杂部位手术中的安全性与可行性,为后续开展更多国产机器人辅助上消化道微创手术提供了支撑,使更多患者有机会在国内接受精准、微创且经济可承受的智能外科手术。






沪公网安备 31011502015178号
